Hypertrophic Osteodystrophy, Weimaraners, and our pup Bodhi

Note: Portions of this post were reviewed by Dr. Noa Safra, formerly of UC Davis

We recently brought home our fourth Weimaraner. He’s a little over two months old, which means he’s in the window for coming down with a disease called hypertrophic osteodistrophy, or HOD. It’s definitely not likely he’ll get sick, but not out of the question. We should know. Our second Weim, Bodhi, came down with the disease shortly after he joined our family.

hypertrophic osteodystrophy

Me and Bodhi, about a week before he got sick: June 2012

What is Hypertrophic Osteodytrophy?

Hypertrophic osteodystrophy is an autoinflammatory disease that affects rapidly growing puppies. Inflammatory disorders are diseases where the immune system attacks the body's own cells or tissues and causes abnormal inflammation. Mild cases can last a few days; more serious ones can last for months. In the very worst cases, the puppy may need to be euthanized.

If you’ve heard anything about HOD, you’re probably aware that it primarily affects a puppy’s bones. In particular, it targets the bone’s growth plates, the softer parts of the bone where growth occurs. The symptoms of the afflicted limbs are lameness and bone pain.

While HOD mostly affects dogs’ bones, there can also be many other symptoms. They include high fever, discharge from the nose and eyes, lack of appetite, diarrhea, bloody stool, sounds in the lungs that can indicate disease, pneumonia, skin pustules, and vaginal discharge. At the time we didn’t know it, but Bodhi’s first symptom wasn’t associated with his bones, it was diarrhea. And during the course of the disease he experienced almost all of the above symptoms at one point or another.

And if that list weren’t enough, there’s one aspect about HOD that can be particularly difficult to deal with: HOD can often recur. Puppies may suffer many flare-ups of the disease until their growth plates harden and the bones stop growing. Recurrence of the condition can happen until the puppy is eight-to-ten months old, but in extremely rare cases it can recur after 24 months. Managing flare-ups was in many ways the most challenging part of dealing with Bodhi’s disease.

Hypertrophic osteodystrophy has been identified in forty different dog breeds, as well as in mixed breed dogs. Certain large breed dogs appear to be predisposed to getting the disease: Great Danes, Boxers, German Shepherd Dogs, Irish Setters, and Weimaraners.

Weimaraners and Irish Setters seem to be the dogs that suffer worst from it.

The cause of hypertrophic osteodystrophy is unknown. There is evidence to support a genetic component to HOD, and the current thought is that this component is widespread in Weimaraners. Why some pups suffer from HOD and others don’t, likely reflects a complex interplay between inherited and environmental factors. There are many possible triggers to HOD. It has been suggested that vaccinations or a stressful event are among those triggers, but there’s currently no conclusive evidence to support this.

There is no cure for hypertrophic osteodystrophy. Afflicted dogs receive treatment for their symptoms: alleviating pain, controlling fever, as well as managing any of the other symptoms that may occur.

Bodhi’s Story

Bodhi came from a reputable breeder, from a litter of nine. He was descended from one of the “show lines,” his sire competed in Westminster two years before we got him. Good breeding, while helpful in managing illnesses dogs may be prone to, is unfortunately no guarantee your pup will be disease-free.

Bodhi fell ill with HOD less than a month after we got him.

“Bodhi was a ‘nine’ on a ‘one-to-ten’ scale. Ten would be pups who by the age of two or three are dead due to complications” according to, Dr. Noa Safra, a veterinarian, former Weim breeder and an expert on the disease. He was ill for many months and hospitalized twice.

It started with a pretty persistent bout of diarrhea. We took him to our local vet and she conducted a routine examination, but could not find any obvious underlying cause. The next morning he seemed very tired and wasn’t drinking much. Later that afternoon we noticed that Bodhi was not placing his right paw down. He had just walked through some prickly holly leaves so we thought maybe he’d irritated his paw pad somehow. He continued to be lethargic for the rest of the day so we called the vet, she told us to keep our eye on him. The next morning he barely moved and his body was hot to the touch. We took him to a nearby animal hospital where they told us he had a fever of nearly 106 degrees. The doctors there seemed unsure of what might be ailing Bodhi initially, but eventually arrived upon a diagnosis of HOD.

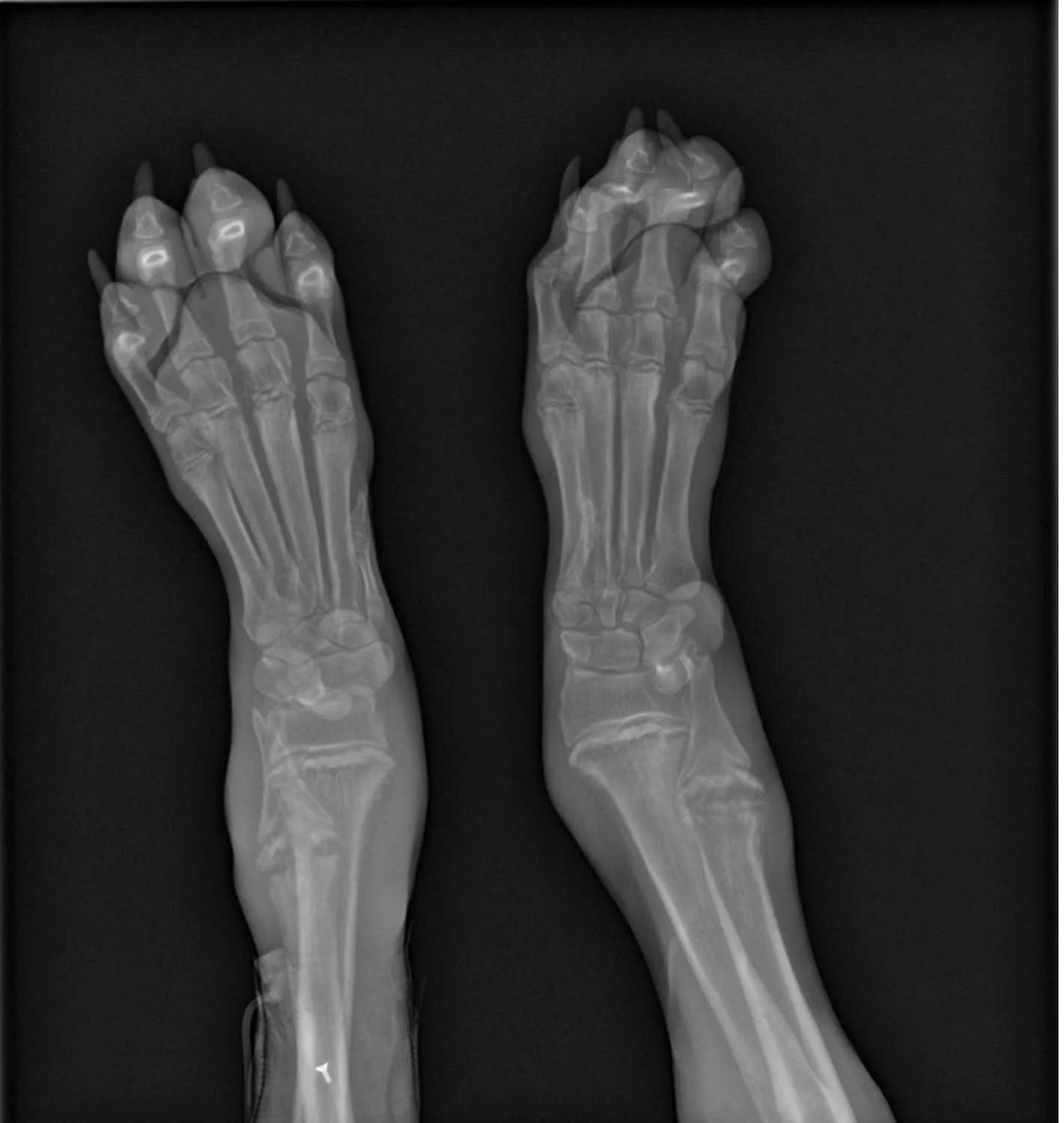
Veterinarians diagnose HOD on the basis of medical history, clinical signs, and by ruling out infectious causes. The most important diagnostic tool is taking radiographs, a type of X-ray. Radiographs can show the typical bone lesions that form in connection with HOD.

hypertrophic osteodystrophy

Radiographs of Bodhi’s Front Leg Bones: July 2012

Vets routinely treat HOD with non-steroidal anti-inflammatory drugs (NSAIDs.) This is what was prescribed for Bodhi when he was first diagnosed. NSAIDs work for most dogs, but unfortunately, many Weimaraners (and Irish Setters) do not respond well to this type of treatment. Bodhi was one of those Weims.

His first round of treatment seemed to work, but a few short weeks later he relapsed. His second flare-up was much, much worse than the first, and the NSAIDs did nothing to alleviate his symptoms. He was treated with NSAIDs (Rimadyl) and Tramadol; after two days in the hospital he was released and seemed largely okay. He was limping a bit, but that cleared up over the course of the next few days. Our initial research online did not indicate to us that HOD was more difficult and severe for Weimaraners; the vets we saw initially did not tell us that HOD was of particular concern for Weims. I believe this is because New York City vets don’t seem to see many cases of HOD (it’s a disease of large breed dogs, New York dogs tend to be small.) To compound that, Weimaraners are not very common in our area, so most local vets probably wouldn’t be aware of any special health concerns for Weims. We contacted the breeder and she referred us to the handbook she gave us when we picked up Bodhi. It referenced HOD research that had been done during the last decade. 

Bodhi did well for about a month and then out of the blue he got sick again: this time with diarrhea and a bad cough. We took him to the vet and she prescribed some medicine for the cough and advised us to observe him closely. A few days later the cough worsened and he started limping again. We went back to the hospital where they diagnosed him with pneumonia and determined that his HOD had flared up again. Again they prescribed NSAIDs and painkillers. We shared Dr. Safra’s work with the emergency room vet but he said we couldn’t put Bodhi on an immuno-suppresive dose of Prednisone because he had pneumonia.

We appealed to a second vet at the practice with whom we had a closer relationship, our friend and Urban Dog’s own resident health expert, Dr. Christina Moore. She called Dr. Safra who quickly advised that we needed to get Bodhi on Pred as soon as possible and that the medicine would clear up the pneumonia, which was HOD-related. He was weaned off the NSAIDs and eventually given Prednisone.

The picture below shows Bodhi in the hospital being weaned off the NSAIDs before he was given Pred. Note how swollen his legs got.

hypertrophic osteodystrophy

Bodhi in the hospital: August 2012

We investigated further and soon discovered articles about the work of Dr. Noa Safra, then of the University of California in Davis. We also contacted the Weimaraner Club of America and spoke to the head of their Health Committee. She endorsed the work of Dr. Safra, so that’s when we decided to get in touch with her)

Dr. Noa Safra and Effective Treament

Armed with Dr. Safra’s research and the help of a new, more open-minded veterinanarian, Bodhi started receivingthe treatment regimen developed by Dr. Safra. She advises using Prednisone, a corticosteroid, rather than NSAIDs. Afflicted puppies should also receive antibiotics and Pepcid (the Prednisone can cause stomach issues.)

You can see the recommended dosages here on the Weimaraner Club of America’s website health page. And for more in-depth details about Dr. Safra’s work, visit PubMed Central (PMC) a free archive of biomedical and life sciences journal literature. There you will find a very technical document, but if your veterinarian is looking for a peer-reviewed paper on hypertrophic osteodystrophy and Dr. Safra’s recommended treatment for Weimaraners, that’s where you’ll find the details.

The next step is to manage the use of the Prednisone. It is a very strong drug and if your puppy is taken off of it too quickly, there can be side effects. This is where the really frustrating part of HOD comes in: your dog will start to get better, the dose of Prednisone will be lowered, but then there’s a recurrence, so it’s back to a higher dose. It’s a tricky game of start and stop until the illness has run its course. Eventually though, your pup can be weaned off the drug.

The Road to Recovery 

Bodhi’s recovery took some time. He couldn’t walk at all for about a week after being discharged from the hospital. the second time. Eventually he got up, but his legs were so deformed, weak, and painful that walking was very difficult.

The video below shows Bodhi walking a few weeks after treatment with the immuno-suppressive doses of Prednisone. If you look closely you can see his front paws look almost like flippers. He had no strength in his wrists.

We worked with him over the next few months with a physical therapist and slowly, but surely, his legs got stronger.

hypertrophic osteodystrophy

Bodhi and his Physical Therapist, Linda McMahon: Fall 2012

The biggest problem was every time we tried to lower the dose of the Pred, he’d start to show early symptoms of a flare up (one of them was a green discharge from his eyes.)

After about three months, he was walking pretty well and we were finally able to wean him off the Prednisone.

Here is a video of Bodhi about a year after he went off Pred.

Below are “before” and “after” pictures of his front legs which were hit hardest by the disease. On the left, you can see how knobby the joints were and that his wrists had no strength and that his paws laid almost flat on the ground. You can see on the right that his legs are far less lumpy and that he’s largely resting on his toes as he should.

hypertrophic osteodystrophy

Most cases of HOD, approximately 70 percent, are not as difficult to manage as Bodhi’s. But even though he had a rough go of it, Bodhi made it through and enjoyed a normal, healthy active life style as an adult. His legs didn’t grow in fully, he was probably a good four inches too short for an adult male Weim, but he certainly didn’t seem to notice! And that’s all that mattered1

Here’s a video of him enjoying the snow about a year after going off Pred.

Advice

  • Do your homework! Make sure you read everything you can about HOD and Weims. Make sure your sources of information are reputable. Consult experts with verifiable credentials and experience with HOD in Weimaraners. As mentioned above, to get more details about Dr. Safra’s work visit PubMed Central (PMC) a free archive of biomedical and life sciences journal literature at the U.S. National Institutes of Health's National Library of Medicine. There you will find a very technical document, but if your veterinarian is looking for a peer-reviewed paper on hypertrophic osteodystrophy and Dr. Safra’s recommended treatment for Weimaraners, that is the place. A warning: be very careful when consulting the vet known as “Dr. Google.” There’s a lot of misleading and even outright wrong information on the internet concerning HOD.

  • Make your veterinarian do their homework! I don’t want to fault some of our vets for not knowing about Weim-specific diseases, but if you are reading this, you are likely aware of the problem. Make sure your vet is too. There are about 200 ACK-approved breeds, other non-approved breeds, and countless mixed breed dogs, a vet can’t be held accountable for knowledge regarding all those different types of dogs. Very often you will have to be the one to do the research.

  • Advocate for your dog with your vet. If we had not pressed, I don’t think it’s unrealistic to say that Bodhi could’ve died during his second hospitalization.

  • Be patient. This is probably the hardest part. It was truly horrible seeing Bodhi so sick. But we knew that he’d eventually get through it.

  • Stay the course! Be diligent about administering the medicine and keep a close eye on your dog for any changes for the worse.

  • Shower your Weim with all the love you can. They are the best dogs ever! (I admit I am biased!) They are only with us a short time. Make it the best time you can!

And just to make sure I end on a high note, here’s a final shot of Bodhi, living his best life, running with his buddies Willow and Birch on the beach out on Fire Island!

hypertrophic osteodystrophy

Bodhi, Willow, and Birch at the Beach: Spring 2016

Previous
Previous

Comic Book Dog Breeds

Next
Next

Are Yorkshire Terriers Good Apartment Dogs?